Assistante Dentaire

Article réservé à nos abonnés Le point sur les traitements ortho-parodontaux

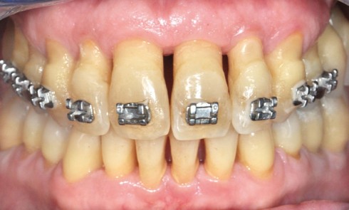
Pour qui ?Pour corriger ou modifier des migrations dentaires, des diastèmes, des égressions, compenser des édentements ou des déséquilibres occlusaux et...

Article réservé à nos abonnés Un espace labo au cabinet dentaire

C’est en 1907 qu’un chirurgien-dentiste américain, WH Taggart, décrit pour la première fois une machine de sa conception destinée à...

Article réservé à nos abonnés Recruter une assistante prothésiste

Deux métiers tellement différents mais tellement complémentaires ! L’un très technique, l’autre très polyvalent ; l’un à l’écart la plupart du temps,...

Article réservé à nos abonnés Les urgences dentaires

Les obligations de chirurgien-dentiste en matière d’urgence sont définies par le Code pénal, le Code de la Santé Publique et...

Article réservé à nos abonnés La dosimétrie passive au cabinet dentaire

L’assistante dentaire est un acteur majeur de la gestion et la maîtrise des risques professionnels au cabinet dentaire. Elle doit...

Article réservé à nos abonnés Une gouttière peut avoir de nombreuses utilisations

Les traits ne sont pas indispensables mais ils permettent de mesurer de façon très précise l’égression de la dent.

Article réservé à nos abonnés Le rôle de l’assistante en implantologie

Le plateau technique à réunir pour la prise d’empreinte et la pose de la prothèse sur implant est similaire à...

Article réservé à nos abonnés Les minivis en orthodontie

La demande croissante de traitements orthodontiques par les adultes, mais aussi l’intervention de phases orthodontiques dans des réhabilitations prothétiques complexes,...

Article réservé à nos abonnés Le rôle de l’assistante dans les urgences médicales au cabinet dentaire

L’accueil du patient S’il est un rôle déterminant dans notre activité d’assistante dentaire, c’est certainement celui de l’accueil du patient....

Article réservé à nos abonnés Partir en vacances et revenir dans les meilleures conditions !

Les premiers jours de la rentrée, il faut convenir d’une réunion d’équipe afin de :– redire son engagement réciproque pour le...

Article réservé à nos abonnés Les assistantes en accord avec la sagesse des Toltèques

Pour éviter tout jugement de nous-mêmes, l’auteur recommande de faire toujours de notre mieux. Il est physiquement impossible d’être toujours...

Article réservé à nos abonnés La communication, fonction prioritaire de l’assistante en parodontie

Cet appel nous permet aussi à nous assistantes, d’en apprendre déjà beaucoup sur l’attitude du patient (stressé, apeuré, perdu, curieux).Lors...