Augmentation dimension verticale

Prothèse

Article réservé à nos abonnés Augmentation de dimension verticale 2.0 :

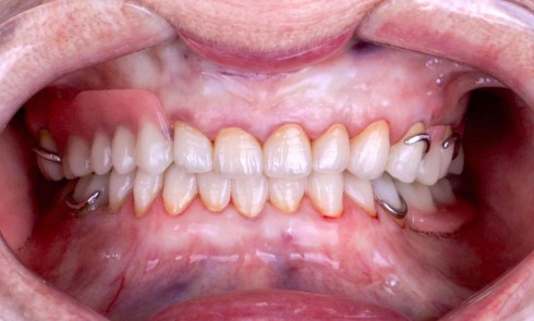
Il est fréquent de recevoir en consultation des patients présentant des pertes dentaires multiples et/ou des érosions ou usures sévères....
Prothèse

Article réservé à nos abonnés Apport du numérique et simplification des protocoles dans les traitements d’augmentation de la dimension verticale chez le patient denté

Les usures dentaires généralisées ont longtemps nécessité des thérapeutiques invasives et délabrantes. Répondant aux doléances d’une population de plus en...