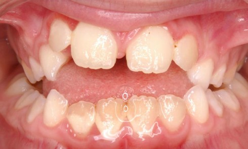
Béance

Occlusodontologie

Article réservé à nos abonnés Contrôle orthodontique de la Dimension Verticale d’Occlusion chez l’adulte présentant une béance antérieure

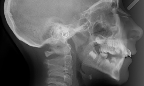
Étiologie de la béance antérieure Dans la littérature, les classifications étiologiques de la béance occlusale antérieure sont variables en fonction...
ODF

Article réservé à nos abonnés Béance et éducation fonctionnelle

Sandrine Hermer Orthodontiste à Compiègne secrétaire générale de la Fédération française d’orthodontie (FFO). Ancienne présidente du Cercle d’étude et de...
ODF

Article réservé à nos abonnés Gestion orthodontico-chirurgicale d’un cas de béance et importance de la prise en charge fonctionnelle

Les béances dentaires sont des malocclusions difficiles à traiter. Les troubles fonctionnels sont souvent à l’origine du problème, et leur...