Bisphosphonates

Implantologie

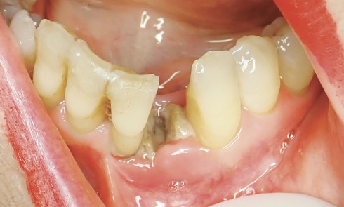
Article réservé à nos abonnés Ostéonécrose péri-implantaire mandibulaire liée aux médicaments : un rapport de cas

RÉSUMÉ L’ostéonécrose des maxillaires liée aux médicaments (MRONJ) est définie comme un effet indésirable des médicaments antirésorptifs ou antiangiogéniques. Ce rapport...
Médecine

Article réservé à nos abonnés Place des bisphosphonates dans le traitement des parodontites : revue de littérature

Destruction osseuse induite par la parodontite La dernière classification des maladies parodontales définit la parodontite comme une pathologie inflammatoire chronique multifactorielle associée...
Médecine

Article réservé à nos abonnés Pharmacologie pratique des antirésorptifs osseux

Les antirésorptifs sont incontournables car ils ont fait la preuve de leur efficacité thérapeutique et que leur balance bénéfice/risque individuel...
Médecine

Article réservé à nos abonnés Les bisphosphonates et le dénosumab sont-ils vraiment utiles en cancérologie ?

Indications des antirésorbeurs en oncologie Les métastases osseuses Les métastases osseuses sont une complication fréquente des tumeurs malignes (tableau 1). Aux États-Unis,...
Médecine

Article réservé à nos abonnés Comment traiter les ostéonécroses des mâchoires ? Traitement médical ou chirurgical ?

En 2014, l’American Association of Oral and Maxillofacial Surgeons (AAOMS) [1] a défini les critères de diagnostic de l’ostéonécrose (tableau 1), les...
Médecine

Article réservé à nos abonnés Les bisphosphonates et le dénosumab sont-ils vraiment utiles en rhumatologie ?

Qu’est-ce que l’ostéoporose ? En rhumatologie, les ostéopathies fragilisantes (ostéoporose post-ménopausique ou cortico-induite, atteintes osseuses d’origine génétique, dans le cadre de...
Implantologie, Implantologie chirurgicale

Article réservé à nos abonnés Contre-indications en implantologie et attitudes concernant les patients à risque

Risque infectieux Le risque infectieux est multifactoriel, et certains paramètres permettant de le moduler, comme l’amélioration des conditions opératoires (antisepsie...