Bridge collé cantilever postérieur en céramique

Biomatériaux

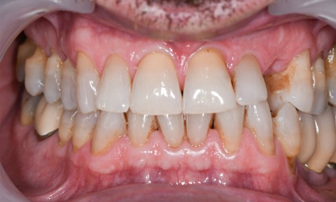
Article réservé à nos abonnés Intégration occlusale du bridge collé cantilever postérieur en céramique

Alternative à l’implantologie et aux restaurations plurales traditionnelles, le bridge collé cantilever postérieur en céramique (BCCPC) est une nouvelle solution...
Implantologie

Article réservé à nos abonnés Le bridge collé cantilever postérieur en céramique

Résumé Ce rapport de cas pose la question des possibilités et des limites des bridges collés cantilevers postérieurs en céramique...