Carie

Odontologie pédiatrique

Article réservé à nos abonnés Le fluor en questions

Parler du fluor n’est pas si simple. En raison de sa haute réactivité, il n’existe pas sous forme isolée et...
Odontologie pédiatrique

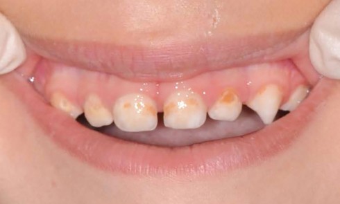
Article réservé à nos abonnés Pourquoi soigner les dents temporaires cariées des enfants ?

Quelles sont les indications de soin d’une dent temporaire ? Dès l’atteinte d’une face de l’émail de la couronne dentaire, un traitement...