Cariologie

Pathologie

Article réservé à nos abonnés Gestion du processus carieux : les dernières recommandations issues de consensus internationaux

De nombreuses enquêtes de pratique ont montré la variation des décisions diagnostiques et thérapeutiques en cariologie d’un pays à l’autre...
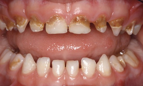
Santé publique

Article réservé à nos abonnés La maladie carieuse en France Une problématique tout au long de la vie, associée à des difficultés de prise en charge des plus jeunes

La situation de la France est d’autant plus inquiétante qu’il faut considérer les besoins comme sous-estimés. En effet, la prise...
CFAO

Article réservé à nos abonnés Empreinte optique et détection des caries

Thomas Sastre Pratique libérale (Pommiers, Rhône) Co-fondateur de Dentilis Digital Academy Fondateur et membre de Sens!, groupe d’experts en dentisterie...
Occlusodontologie

Article réservé à nos abonnés Xylitol : recommandations actuelles de consommation pour la prévention de la maladie carieuse

Études sur l’impact de la consommation de xylitol sur la maladie carieuse Le xylitol Le xylitol est un sucre de...