Chirurgie endodontique

Implantologie

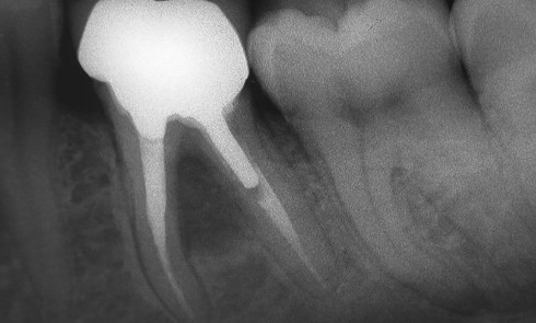
Article réservé à nos abonnés Conserver, extraire : quelles sont les limites ? Point de vue endodontique

Conserver ou extraire une dent est un dilemme quotidien du praticien qui doit pouvoir offrir une solution pérenne à son...
Endodontie

Article réservé à nos abonnés Guides et planification endodontique

L’endodontie est une discipline majeure de l’odontologie, souvent redoutée par les praticiens. L’anatomie parfois complexe, l’accès visuel et instrumental et/ou...