Chirurgie orale

Esthétique

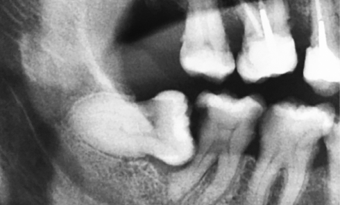
Article réservé à nos abonnés Conserver ou extraire les dents de sagesse : le point sur les indications et les techniques chirurgicales

L’extraction des troisièmes molaires est une intervention fréquente en chirurgie orale qui représente environ 36 % des actes d’extraction. Prendre la...
Esthétique

Article réservé à nos abonnés Les complications des chirurgies du quotidien

Difficile de prévoir une complication. Pourtant, force est de constater qu’il se dégage des situations à risque : un cas...
Chirurgie orale

Article réservé à nos abonnés Les concentrés plaquettaires en chirurgie orale

La préservation et la régénération des volumes osseux sont des problématiques quotidiennes pour le chirurgien-­dentiste. Les pathologies orales conduisent à...