Composite

Article réservé à nos abonnés Restauration des faces palatines par composite direct

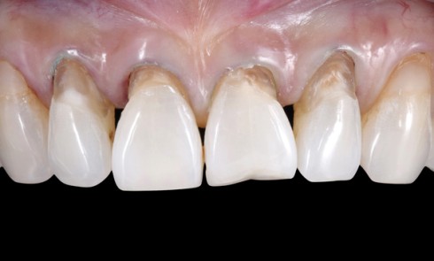
Les érosions dentaires concernent de plus en plus de patients [1,2]. D’étiologie et de sévérité variables, elles conduisent parfois à...

Article réservé à nos abonnés Comment aborder les restaurations antérieures en composite, décomplexé et sûr de sa technique ?

L’emploi des résines composites (RC) couplé à l’essor des procédures d’adhésion est une étape incontournable dans les progrès effectués par...

Article réservé à nos abonnés Fermeture des diastèmes et des triangles noirs du secteur antérieur à l’aide de résines composites en technique directe

La présence d’un diastème antérieur constitue chez les adultes l’un des principaux motifs de consultation pour raison esthétique. Quant aux...

Article réservé à nos abonnés Quelle couronne céramique utiliser sur une reconstitution corono-radiculaire métallique ou composite ?

Quelle est la constitution des céramiques dentaires ? Comment choisir le type de restauration prothétique ? Quel système utiliser en...

Article réservé à nos abonnés Restaurations coronoradiculaires adhésives. Indications et procédures

La reconstruction coronoradiculaire préprothétique de la dent dépulpée, par une restauration composite directe adhésive, est constituée d’un moignon coronaire associé...

Article réservé à nos abonnés Quiz : reproduction de l’état de surface et polissage des composites

Une patiente de 17 ans présente deux fractures obliques sur 11 et 21. La vitalité de ces dents est préservée....

Article réservé à nos abonnés Onlays sans préparation et minifacettes. Place de la dentisterie adhésive dans les thérapeutiques esthétiques et fonctionnelles

Le développement de la dentisterie adhésive a changé notre réalité clinique dans la mesure où elle permet de répondre à...

Article réservé à nos abonnés Stratification de composite dans le secteur antérieur

La dentisterie restauratrice moderne a considérablement évolué ces dernières années. Les différentes thérapeutiques qui la constituent peuvent être réunies au...

Article réservé à nos abonnés Les bridges d’inlays/onlays en composite fibré. 15 années après les premières propositions cliniques

Quelles sont les indications des bridges inlays/onlays en composite fibré ? Quels sont les principes de confection ? Quelle est...

Article réservé à nos abonnés Traitement d’un édentement partiel par prothèse composite

Nous terminons la présentation du cas clinique de restauration prothétique maxillaire (id 14 du 7 avril et id 15 du 14 avril)...

Article réservé à nos abonnés Traitement d’un édentement partiel par prothèse composite

Le numéro ID 14 du 7 avril, a présenté le cas clinique d’une patiente de 72 ans, consultant pour une...

Article réservé à nos abonnés Traitement d’un édentement partiel par prothèse composite

Premier volet de ce cas clinique illustré en « step by step » : diagnostic, objectifs et décision thérapeutique.