Contention

Implantologie prothétique

Article réservé à nos abonnés La prothèse fixée de contention sur dents naturelles et sur implants

Le recours à la prothèse fixée ou implanto-portée après une prise en charge parodontale suppose en premier lieu que le...
Parodontologie

Article réservé à nos abonnés Indications et protocoles cliniques de réalisation des contentions fibrées collées

Les contentions fibrées, constituées pour la grande majorité de fibres de verre imprégnées de résine composite, présentent des avantages en...
ODF

Article réservé à nos abonnés Spécificités de la contention en cas de parodontite

Les parodontites sont des pathologies d’origine bactérienne, aggravées par de nombreux facteurs (tabac, génétique, hygiène…) [1] et conduisant à une...
ODF

Article réservé à nos abonnés Approches multiples et variées pour contenir l’espace des incisives latérales absentes

Paramètres particuliers à prendre en compte Voici quelques aspects importants de la contention dans les cas d’agénésie des incisives latérales...
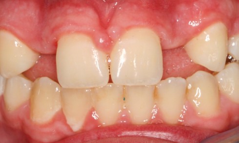
Parodontologie

Article réservé à nos abonnés Le syndrome du fil : complication inattendue de la contention : Ne passez pas à côté de ce diagnostic !

Définitions Les contentions postorthodontiques fixes ont pour but de stabiliser à long terme la nouvelle position dentaire obtenue. Cependant, des...
ODF

Article réservé à nos abonnés la fabrication des fils de contention en collage indirect

Dans un premier temps, les empreintes sont coulées avec du plâtre blanc, taillées jusqu’aux premières molaires, et identifiées, au crayon...
ODF, Parodontologie

Article réservé à nos abonnés Le « syndrome du fil » de contention collé en orthodontie

Les effets indésirables des fils de contention collés Les contentions par fils collés maintiennent l’esthétique dans les régions antérieures sans...
ODF

Article réservé à nos abonnés L’après-contention en orthodontie

Une fois le traitement orthodontique actif par multi-attaches terminé, et la première année de contention achevée, les patients ne sont...
ODF

Article réservé à nos abonnés La Coopération lors de la contention en orthodontie

Montrer l’amélioration obtenue Certains adolescents et adultes ont conservé de gros complexes liés à l’état de leurs dents avant traitement,...