Couronnes pédiatriques

Odontologie pédiatrique

Article réservé à nos abonnés Couronnes pédiatriques préformées esthétiques : zircone et composite, le face-à-face !

Responsable scientifique : Cécile Pflieger Intervenants : Serena LOPEZ, Nhat Minh DO La demande esthétique en dentisterie pédiatrique a considérablement augmenté ces...
Odontologie pédiatrique

Article réservé à nos abonnés Les couronnes pédiatriques préformées esthétiques sur molaires temporaires : quelles sont les nouveautés ?

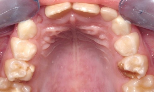
Les couronnes pédiatriques préformées métalliques (CPPm) sont indiquées sur les molaires temporaires dont le délabrement intéresse au moins deux faces,...
Esthétique

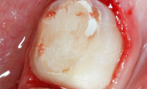
Article réservé à nos abonnés Restauration prothétique fixée dans l’enfance : les couronnes pédiatriques en zircone

Les anomalies de structure des dents temporaires se manifestent par des atteintes très diverses : des anomalies de teinte, de morphologie,...