Décision thérapeutique

Prothèse

Article réservé à nos abonnés Complications prothétiques : le remplacement délicat d’une première molaire mandibulaire par une couronne sur implant

Situation clinique et diagnostic Il s’agit du remplacement d’une 1re molaire mandibulaire chez une patiente âgée de 37 ans au...
Odontologie restauratrice

Article réservé à nos abonnés Préparation verticale et effet de cerclage

Situation clinique Une patiente de 59 ans est reçue en urgence pour le décollement d’une facette en zircone sur sa...
Odontologie restauratrice

Article réservé à nos abonnés Intérêt de l’utilisation d’un matériau zircone multicouche dans la réalisation de grands cas esthétiques

De la planification à la phase de collage Présentation du cas Une patiente de 50 ans consulte pour un inconfort...
Implantologie prothétique

Article réservé à nos abonnés Gestion d’un échec dans la prise en charge implanto-prothétique d’un maxillaire totalement édenté

Situation thérapeutique Un patient consulte pour une prise en charge implantaire, il n’a pas de problème de santé particulier et...
Prothèse amovible

Article réservé à nos abonnés La coronoplastie pré-prothétique en PAPM : critères de décision

Diagnostic La situation de la LPGCC séparant la dent en deux zones distinctes (zone de dépouille et de contre-dépouille) se...
Odontologie restauratrice

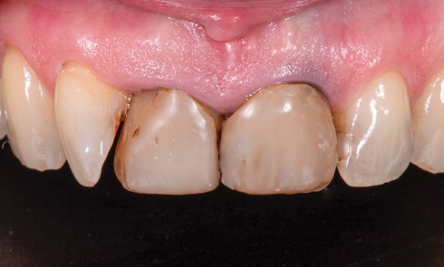
Article réservé à nos abonnés Critères de choix des matériaux dans la restauration de dents antérieures dyschromiées

Situation thérapeutique Présentation du cas (fig. 1 et 2) Une patiente de 55 ans se présente pour une prise en charge esthétique...
Implantologie

Article réservé à nos abonnés Thérapeutiques restauratrices versus implantologie. Retardons l’avulsion tant que possible.

Coordination : Aude Ménard, Adrien Lastrade Cas clinique Une patiente de 41 ans se présente en urgence pour le descellement de...
Esthétique

Article réservé à nos abonnés Agénésie d’une incisive latérale

Situation clinique Une patiente de 17 ans se présente en consultation, adressée par son orthodontiste (Dr Franck Hervé, Le Mans)....