Dent dépulpée

Odontologie restauratrice

Article réservé à nos abonnés Parlons ensemble d’adhésion

Responsable scientifique : Alain Vanheusden Intervenant : Frédéric Raux Photo et schéma : © Frédéric Raux Le grand principe commun de l’adhésion...
Endodontie

Article réservé à nos abonnés Restauration contemporaine de la dent dépulpée dans les secteurs postérieurs

La dent naturelle est un organe complexe constitué de substrats différents et complémentaires : l’émail et la dentine. La symbiose biologique...
Endodontie

Article réservé à nos abonnés Éclaircissement de la dent dépulpée : doit-on traiter différemment de la dent pulpée ?
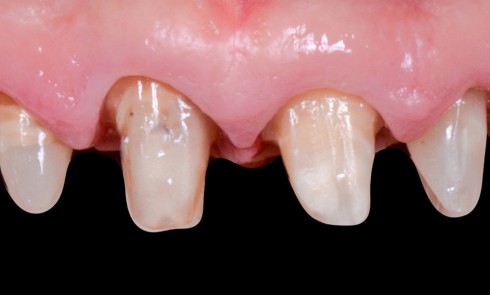
Étude d’un cas clinique

Les colorations de la dent dépulpée venant de « l’intérieur » de la dent, il est d’usage de réaliser un éclaircissement, là...
Endodontie

Article réservé à nos abonnés Dépulpera bien qui dépulpera le dernier

Un bon dentiste sait comment dépulper une dent, un excellent dentiste sait quand la dépulper » Avènement de l’endodontie moderne...
Esthétique

Article réservé à nos abonnés Éclaircissement de la dent dépulpée : technique interne/externe ou uniquement externe ?

L’éclaircissement de la dent dépulpée est une thérapeutique qui a aujourd’hui plus de 150 ans et qui a connu de très...
Endodontie, Odontologie restauratrice

Article réservé à nos abonnés Restaurer ou réhabiliter la dent postérieure dépulpée

Responsable scientifique : Antoine Oudin Conférencier : Hugues de Belenet Le traitement de la dent postérieure dépulpée peut, comme toute problématique...
Implantologie

Article réservé à nos abonnés Conserver, extraire : quelles sont les limites ? Point de vue biomécanique

Les facteurs mécaniques intrinsèques à considérer dans la conservation d’une dent altérée sont liés aux possibilités de la restaurer durablement....
Odontologie restauratrice

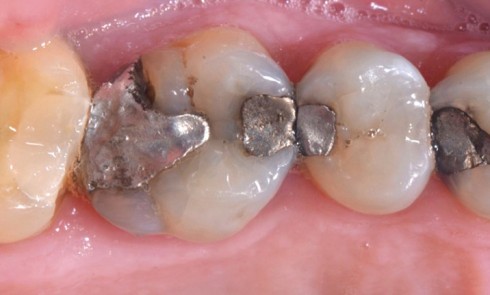
Article réservé à nos abonnés Restauration contemporaine de la dent postérieure dépulpée

Présentation du cas Un patient de 58 ans avec une hygiène bucco-dentaire correcte se présente pour la première fois en...