Dent temporaire

Odontologie pédiatrique

Article réservé à nos abonnés Pourquoi soigner les dents temporaires cariées des enfants ?

Quelles sont les indications de soin d’une dent temporaire ? Dès l’atteinte d’une face de l’émail de la couronne dentaire, un traitement...
Odontologie restauratrice

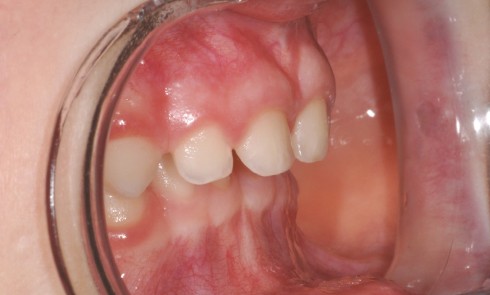
Article réservé à nos abonnés Traumatologie de la dent temporaire, les bons réflexes à adopter

Les traumatismes chez le jeune enfant sont fréquents et les conséquences pour les dents temporaires voire les germes sous-jacents sont...