Dents vitales

Biomatériaux

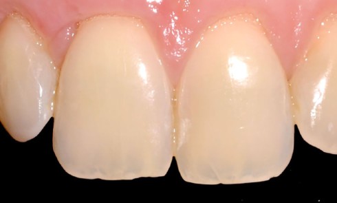
Article réservé à nos abonnés Pronostic du résultat colorimétrique obtenu post-éclaircissement des dents vitales : Le Coefficient Potentiel d’Éclaircissement CPE (Partie 2)

Finalement, que signifie avoir les dents blanches ? « Docteur, je viens vous voir pour avoir les dents blanches ! », voici...
Biomatériaux

Article réservé à nos abonnés Nouvelle proposition pour une approche quantitative prévisionnelle du résultat de l’éclaircissement des dents vitales : le Coefficient Potentiel d’Éclaircissement (CPE)

L’éclaircissement est-il prévisible ? Dans les années 90, l’un des pères fondateurs de la dentisterie esthétique, le Dr Ronald Goldstein,...