Diagnostic différentiel

Dermatologie buccale

Article réservé à nos abonnés Une histoire de langue fissuraire

Cas 1 Motif de la consultation Glossite fissuraire. Histoire de la maladie Patiente de 69 ans, hypertendue, traitée par amlodipine, consulte,...
Dermatologie buccale

Article réservé à nos abonnés Qu’est-ce qu’un raptus salivaire ?

CAS 1 Motif de la consultation Patiente de 42 ans, qui a consulté pour la récidive d’un pseudo-kyste salivaire rétentionnel....
Parodontologie

Article réservé à nos abonnés Lésion blanche : pourquoi rester vigilant ?

Situation clinique Anamnèse. Une patiente âgée de 73 ans est reçue en consultation pour un avis en raison de la...
Dermatologie buccale

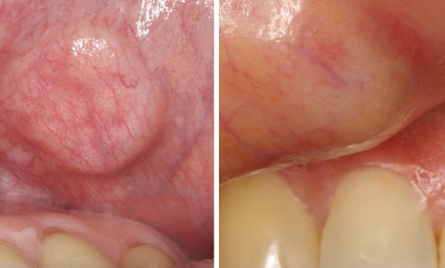
Article réservé à nos abonnés Des tumeurs bénignes de la muqueuse buccale

Cas 1 Motif de la consultation Patient de 60 ans, qui a consulté sur les conseils de son médecin traitant pour...
Dermatologie buccale

Article réservé à nos abonnés Lésions lichénoïdes induites : syndromiques ou médicamenteuses ?

Cas 1 Motif de la consultation Patient adressé par son médecin interniste pour avis et prise en charge d’une lésion...
Dermatologie buccale

Article réservé à nos abonnés Carcinomes épidermoïdes sans facteurs carcinogènes ?

CAS 1 Motif de la consultation Patient de 57 ans ayant consulté sur les conseils de son chirurgien-dentiste pour une ulcération...
Dermatologie buccale

Article réservé à nos abonnés Lésions palatines d’allure tumorale

CAS 1 Motif de la consultation Patient adressé par son chirurgien-dentiste pour avis et prise en charge d’une lésion palatine présente...
Dermatologie buccale

Article réservé à nos abonnés Des papillomes atypiques

CAS 1 Motif de la consultation Patient de 51 ans consultant pour une tumeur labiale supérieure. Histoire de la maladie Le...
Dermatologie buccale

Article réservé à nos abonnés Papules pigmentées linguales

CAS 1 Motif de la consultation Patiente de 12 ans adressée par son chirurgien-dentiste pour avis et prise en charge...
Dermatologie buccale

Article réservé à nos abonnés Kystes de toute localisation et de toute taille

CAS 1 Motif de la consultation Patiente de 51 ans adressée par son chirurgien-dentiste traitant pour une lésion palatine médiane...
Dermatologie buccale

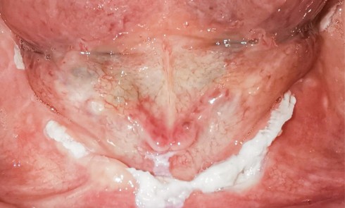
Article réservé à nos abonnés Lésions palatines d’allure kystique trompeuse !

CAS 1 Motif de la consultation Patient adressé par son stomatologue pour avis et prise en charge d’une lésion palatine...
Dermatologie buccale

Article réservé à nos abonnés Glandes salivaires accessoires et tumeurs

CAS 1 Motif de la consultation Patient de 61 ans venu consulter pour une tumeur labiale supérieure gauche. Histoire de...