Diagnostic différentiel

Dermatologie buccale

Article réservé à nos abonnés Lésions rouges évocatrices d’une néoplasie maligne débutante

CAS 1 Motif de la consultation Lésions discrètement douloureuses de la langue depuis 6 mois. Histoire de la maladie • Patient...
Dermatologie buccale

Article réservé à nos abonnés Lésions aphtoïdes secondaires

CAS 1 Motif de la consultation Patiente de 35 ans, d’origine péruvienne ayant consulté pour des aphtes récidivants. Histoire de...
Dermatologie buccale

Article réservé à nos abonnés Des lésions verruqueuses et florides

CAS 1 Motif de la consultation Patient de 76 ans, insuffisant coronarien, traité par une endoprothèse (stent) et clopidogrel associé...
Dermatologie buccale

Article réservé à nos abonnés Quand c’est noir, ça inquiète !

CAS 1 Motif de la consultation Patiente de 44 ans venue consulter sur les conseils de son dentiste traitant après la découverte,...
Dermatologie buccale

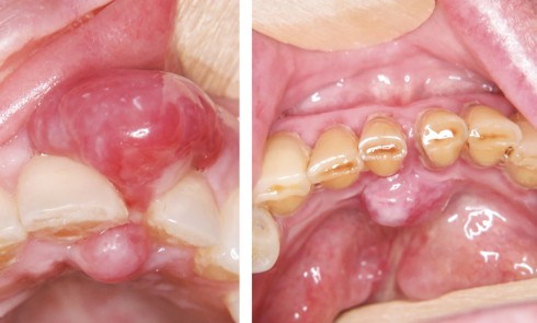
Article réservé à nos abonnés Nodules gingivaux : ne pas oublier l’examen anatomopathologique

CAS 1 Motif de la consultation Patiente de 51 ans sans antécédent médical et chirurgical adressée par son parodontiste pour une lésion...
Dermatologie buccale

Article réservé à nos abonnés Des carcinomes épidermoïdes qui se cachent !

CAS 1 Motif de la consultation Patiente de 90 ans, toujours très alerte physiquement et mentalement, adressée par un chirurgien-dentiste pour une lésion...
Dermatologie buccale

Article réservé à nos abonnés Amyotrophie et déviation linguale

Cas 1 Motif de la consultation Patiente de 75 ans, hypertendue, consultant pour des brûlures para-pharyngées et mandibulaires postérieures gauches. Histoire de la maladie...
Dermatologie buccale

Article réservé à nos abonnés Des hyperplasies gingivales peu ordinaires

L’hyperplasie gingivale correspond le plus souvent à une augmentation de volume du tissu conjonctif. Elle peut être localisée (épulis, tumeur maligne…) ou...
Dermatologie buccale

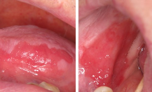
Article réservé à nos abonnés Ulcérations herpétiformes du bord de langue

CAS 1 Motif de la consultation Lésions douloureuses de la langue, récurrentes depuis un an. Histoire de la maladie • Patiente de...
Dermatologie buccale

Article réservé à nos abonnés Deux autres lésions linguales rares

CAS 1 Motif de la consultation Patiente de 61 ans venue consulter spontanément pour une lésion linguale. Histoire de la maladie...
Dermatologie buccale

Article réservé à nos abonnés Lésions linguales rares

Cas 1 Motif de la consultation Patient de 50 ans venu consulter en janvier 2019 pour une lésion dorso-linguale. Histoire de...
Dermatologie buccale

Article réservé à nos abonnés Quelquefois, les lésions sont jaunes

CAS 1 Motif de la consultation. Patiente de 30 ans venue consulter sur les conseils de son chirurgien-dentiste traitant. Histoire...