Diagnostic différentiel

Dermatologie buccale

Article réservé à nos abonnés Des papules sur la muqueuse jugale

CAS 1 Motif de la consultation Patiente de 32 ans venue consulter pour la découverte fortuite de « taches » jaunes dans...
Dermatologie buccale

Article réservé à nos abonnés Chéilites exfoliatives chroniques

Les chéilites exfoliatives sont un motif de consultation en raison de leur caractère affichant, plus ou moins douloureux. Ce sont...
Dermatologie buccale

Article réservé à nos abonnés Lésions lichénoïdes induites

Les lésions lichénoïdes induites sont des lésions qui simulent, sur le plan clinique ou histopathologique, un lichen plan, mais qui...
Dermatologie buccale

Article réservé à nos abonnés Pour les lèvres : maîtriser la technique d’injection

Certaines patientes souhaitent donner un peu plus de volume à leurs lèvres ou effacer les rides d’amertume en réalisant des...
Dermatologie buccale

Article réservé à nos abonnés Tumeurs sur la demi-muqueuse labiale

Cas 1 Motif de la consultation. Patiente de 35 ans qui avait une tumeur labiale saignant au moindre contact, voire...

Article réservé à nos abonnés Ulcération de cause générale ?

CAS 1 Motif de la consultation. Patient de 55 ans venu consulter pour l’apparition d’une ulcération de la lèvre inférieure...

Article réservé à nos abonnés Malformations veineuses

19-21 CAS1       Motif de la consultation. Patiente de 44 ans qui présentait des épisodes de gonflement douloureux...

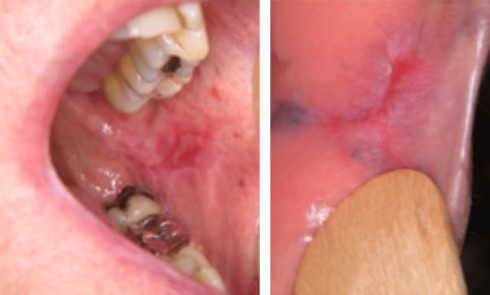
Article réservé à nos abonnés Il y a noir et noir !

CAS 1   Motif de la consultation. Patient de 42 ans, inquiet après la découverte d’une macule gingivale vestibulaire noirâtre....

Article réservé à nos abonnés Ulcérations chez un enfant

CAS 1 Motif de la consultation. Enfant de 10 ans adressé pour des ulcérations buccales douloureuses et récidivantes. Histoire de...

Article réservé à nos abonnés Toujours et encore des épulis ?

CAS 1 Motif de la consultation. Patiente de 61 ans, adressée par son chirurgien-dentiste traitant qu’elle a consulté pour une...

Article réservé à nos abonnés Et si ce n’était pas un lichen ?

Cas 1     Motif de la consultation. Patient de 51 ans venu consulter pour des douleurs jugales gauches. Histoire...

Article réservé à nos abonnés Toujours des épulis ?

Cas 1 Motif de la consultation. Patiente de 55 ans venue consulter pour une tumeur gingivale palatine.     Histoire de...