Éclaircissement

Endodontie

Article réservé à nos abonnés Éclaircissement de la dent dépulpée : doit-on traiter différemment de la dent pulpée ?
Étude d’un cas clinique

Les colorations de la dent dépulpée venant de « l’intérieur » de la dent, il est d’usage de réaliser un éclaircissement, là...
Esthétique

Article réservé à nos abonnés Éclaircissement de la dent dépulpée : technique interne/externe ou uniquement externe ?

L’éclaircissement de la dent dépulpée est une thérapeutique qui a aujourd’hui plus de 150 ans et qui a connu de très...
Biomatériaux

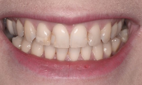
Article réservé à nos abonnés Pronostic du résultat colorimétrique obtenu post-éclaircissement des dents vitales : Le Coefficient Potentiel d’Éclaircissement CPE (Partie 2)

Finalement, que signifie avoir les dents blanches ? « Docteur, je viens vous voir pour avoir les dents blanches ! », voici...
Esthétique

Article réservé à nos abonnés Éclaircissement externe et collage des restaurations partielles

Face à la demande esthétique croissante des patients en quête d’un sourire attractif – synonyme d’une bonne intégration psychosociale –, la...
Odontologie restauratrice

Article réservé à nos abonnés Éclaircissement dentaire avec du peroxyde de carbamide à 10 % : effets prophylactiques sur la dent cariée ou érodée

L’éclaircissement dentaire prend progressivement sa place dans l’arsenal thérapeutique des praticiens. En effet, en plus de l’indication physiologique liée au...
Esthétique

Article réservé à nos abonnés Lumière sur les différents types d’éclaircissements dentaires

Quelles sont les étiologies des dyschromies dentaires ? Avant tout traitement, il convient de déterminer l’étiologie des colorations dentaires. Selon leur...