Édentement

Odontologie pédiatrique

Article réservé à nos abonnés Prothèse amovible complète pédiatrique : réflexions thérapeutiques autour d’un cas clinique

Un jeune patient âgé de 5 ans se présente en consultation d’odontologie pédiatrique avec, comme seul antécédent médical connu, la...
Biomatériaux

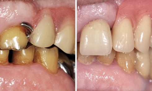
Article réservé à nos abonnés L’évidence du bridge collé à une ailette pour le remplacement d’une incisive… ou pas !

Le remplacement d’une dent unitaire antérieure est toujours un défi, étant donné les objectifs esthétiques et fonctionnels (phonatoire et masticatoire)...
Occlusodontologie

Article réservé à nos abonnés Réévaluation de la dimension verticale d’occlusion pour le traitement d’un édentement sectoriel maxillaire

L’augmentation importante des érosions dentaires est un fléau qui touche actuellement de plus en plus les populations jeunes [1]. Ces...