élongation coronaire

Parodontologie

Article réservé à nos abonnés De la muco-esthétique à la muco qui sauve les dents

Le concept PASS au cœur de l’innovation parodontale La chirurgie plastique parodontale a connu une évolution notable, alliant avancées cliniques et technologiques...

Article réservé à nos abonnés L’élongation coronaire guidée, une (r)évolution clinique

L’attrait esthétique d’un sourire est influencé par une multitude de facteurs, notamment la proportion, la couleur et la symétrie des...
Parodontologie

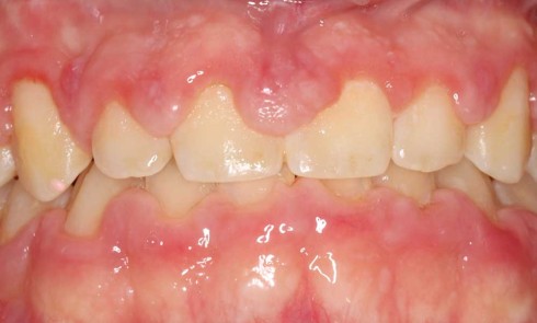
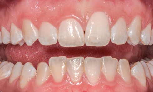
Article réservé à nos abonnés Amélioration de l’esthétique d’un sourire gingival asymétrique grâce à la chirurgie plastique parodontale

  RÉSUMÉ Une patiente de 19 ans atteinte de pathologie cardiovasculaire, en bonne santé parodontale, nous a consultés pour corriger...
Parodontologie

Article réservé à nos abonnés L’élongation coronaire chirurgicale pour la réhabilitation de l’esthétique du sourire

L’éruption dentaire s’établit en deux phases : une phase active lorsque la dent chemine dans la cavité orale jusqu’à entrer en...
Esthétique

Article réservé à nos abonnés L’élongation coronaire : de l’analyse à l’intervention chirurgicale

Réaliser une restauration prothétique dans de bonnes conditions implique d’être vigilant au respect de l’environnement parodontal. S’affranchir de ces considérations...