Enfant

Odontologie pédiatrique

Article réservé à nos abonnés Le fluor en questions

Parler du fluor n’est pas si simple. En raison de sa haute réactivité, il n’existe pas sous forme isolée et...
Pathologie

Article réservé à nos abonnés Syndrome d’apnées-hypopnées obstructives du sommeil : spécificités chez l’enfant

Spécificités cliniques du Sahos de l’enfant Comme chez l’adulte, le Syndrome d’apnées-hypopnées obstructives du sommeil (Sahos) de l’enfant correspond à...
Odontologie restauratrice

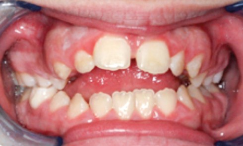
Article réservé à nos abonnés Traumatologie de la dent temporaire, les bons réflexes à adopter

Les traumatismes chez le jeune enfant sont fréquents et les conséquences pour les dents temporaires voire les germes sous-jacents sont...
ODF, Parodontologie

Article réservé à nos abonnés Enfant patient parodontal

L’enfant est-il à risque de maladie parodontale ? Il existe une susceptibilité plus faible au développement de l’inflammation gingivale chez...