Enquête
Vie de la profession
Évaluation du risque carieux connaissances et pratiques des omnipraticiens français
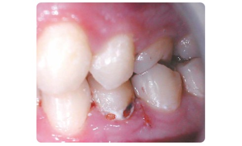
Le concept d’intervention minimale (IM) en dentisterie englobe l’ensemble des mesures préventives et interceptives à mettre en œuvre pour enrayer...
Vie de la profession
Vie de la profession
Vie de la profession
Une nouvelle revue est née : BioMatériaux dentaires Cliniques
Vie de la profession
Les Français satisfaits de la qualité des soins des chirurgiens-dentistes