érosion

Médecine

Article réservé à nos abonnés Nutrition et érosion

L’érosion dentaire est un phénomène d’usure d’origine acide entraînant la déminéralisation et la dissolution des tissus dentaires calcifiés, sans qu’il...
Prothèse

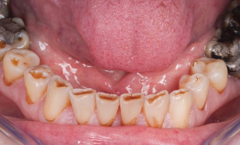
Article réservé à nos abonnés Réhabilitation d’une denture souffrant d’érosion par acide hypochloreux

La perte de surface dentaire est observée cliniquement sous forme d’attrition, d’abrasion, d’abfraction et d’érosion [1]. Elle peut être associée...
Odontologie restauratrice

Article réservé à nos abonnés Éclaircissement dentaire avec du peroxyde de carbamide à 10 % : effets prophylactiques sur la dent cariée ou érodée

L’éclaircissement dentaire prend progressivement sa place dans l’arsenal thérapeutique des praticiens. En effet, en plus de l’indication physiologique liée au...
Esthétique

Article réservé à nos abonnés Érosion/infiltration Les clefs de la réussite par une bonne validation de l’accès à la lésion

La procédure d’érosion/infiltration est une thérapeutique connue et abondamment décrite dans la littérature [2, 3]. Il s’agissait au départ de...
Odontologie restauratrice

Article réservé à nos abonnés Préparations contemporaines pour overlays

Les overlays (céramique et composite) sont devenus en quelques années un véritable référentiel en termes de restaurations partielles postérieures. Ils sont même...
Pathologie

Article réservé à nos abonnés Hypersensibilité dentinaire

Étiologie et facteurs de risque Pour que l’hypersensibilité dentinaire se produise, il doit y avoir une exposition de la dentine...