Esthétique

Biomatériaux

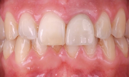
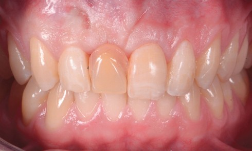
Article réservé à nos abonnés Les hypominéralisations de l’émail en toute simplicité
Partie 1 : Bien utiliser la résine « Icon-Infiltrant » pour un meilleur résultat

Le protocole d’érosion-infiltration est une approche de choix pour la gestion des hypominéralisations de l’émail permettant d’améliorer les propriétés optiques...
Implantologie chirurgicale

Article réservé à nos abonnés Traitement implantaire par avulsions partielles en zone esthétique. À propos d’un cas complexe d’édentement partiel

Le remplacement de plusieurs dents adjacentes du secteur antérieur maxillaire est un véritable challenge fonctionnel et esthétique. C’est la situation clinique qui présente...
Parodontologie

Article réservé à nos abonnés L’élongation coronaire chirurgicale pour la réhabilitation de l’esthétique du sourire

L’éruption dentaire s’établit en deux phases : une phase active lorsque la dent chemine dans la cavité orale jusqu’à entrer en...
Prothèse

Article réservé à nos abonnés Approche esthétique conventionnelle et gestion du point interincisif

La détermination tridimensionnelle du point interincisif (PI) chez l’édenté complet est un facteur primordial pour la restauration de son esthétique. Elle...
Implantologie

Article réservé à nos abonnés Prise en charge multidisciplinaire d’un cas complexe concernant la zone esthétique antérieure maxillaire

Résumé La zone antérieure maxillaire est une zone esthétique carrefour des différentes spécialités odontologiques. Sa réhabilitation doit toujours passer par...
Odontologie pédiatrique

Article réservé à nos abonnés Bridge collé cantilever : pour une optimisation muco-gingivale de l’intégration esthétique

Le bridge collé cantilever représente une thérapeutique de choix dans le cadre de la prise en charge de l’édentement unitaire...
Esthétique

Article réservé à nos abonnés 3 erreurs à éviter pour débuter en stratification… et leurs solutions

Erreur 1 : biseau ou congé insuffisant Lorsqu’un patient se présente en consultation pour la restauration d’une incisive fracturée, nous...
Implantologie

Article réservé à nos abonnés Flux digital en implantologie à propos d’un cas sur une incisive centrale

Analyse pré-implantaire Recueil des données Une patiente de 32 ans est reçue en consultation au cabinet. Elle ne présente pas...
Implantologie prothétique

Article réservé à nos abonnés Aménagement prothétique péri-implantaire de la zone esthétique

Restauration transitoire Dans le secteur antérieur, la mise en place d’une restauration implanto-portée transitoire est indispensable pour mettre en forme...
Implantologie chirurgicale

Article réservé à nos abonnés Réhabilitations maxillaires complètes de grande étendue

À travers deux cas cliniques, cet article va se focaliser sur les réhabilitations complètes fixes implanto-portées et distinguer : –...
Implantologie chirurgicale

Article réservé à nos abonnés Reconstruction osseuse verticale du secteur antérieur avec les armatures en titane

Dans la zone esthétique, une épaisseur osseuse de 2 à 4 mm est préconisée antérieurement au col implantaire [2-5]. Elle...
Implantologie chirurgicale

Article réservé à nos abonnés Reconstruction osseuse autogène en secteur esthétique

La technique de greffe autogène est basée sur la préparation des blocs corticaux mandibulaires prélevés dans la zone rétro-molaire. La...