Faculté de Lille

Hygiène et Asepsie

Article réservé à nos abonnés Poser la digue : un geste barrière, une pratique sûre et confortable

La digue : une barrière au virus La transmission du SARS-CoV-2 d’un individu à l’autre peut se faire de manière...

Article réservé à nos abonnés Les résorptions externes inflammatoires post-traumatiques

Mécanismes Les résorptions inflammatoires externes sont le résultat d’une réponse inflammatoire liée au traumatisme. Elles évoluent plus ou moins rapidement,...
ODF

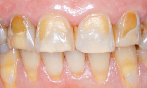
Article réservé à nos abonnés L’orthodontie dans le traitement des lésions érosives

Les pertes de substances d’origine érosive ont une prévalence en évolution depuis quelques années. Ces phénomènes multifactoriels sont en relation...
Implantologie, Implantologie chirurgicale

Article réservé à nos abonnés Lésion nerveuse du nerf alvéolaire inférieur lors d’une pose implantaire

Rappels Le nerf alvéolaire inférieur (NAI) est le plus touché (64,4 % des cas) lors des chirurgies implantaires du fait de...
Occlusodontologie

Article réservé à nos abonnés Dépistage d’une dysfonction temporo-mandibulaire avant réhabilitation implanto-portée chez l’édenté en secteur postérieur

Une dégradation de l’état articulaire à court ou moyen terme impose une prise en charge, incluant parfois la réfection des...