Fiche Paro

Parodontologie

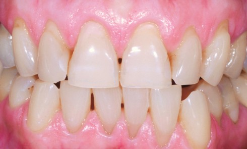
Article réservé à nos abonnés Nouvelle classification… #9 – Parodontite stade IV grade B

Depuis les débuts de la rubrique, les auteurs ont illustré chaque stade et grade de la classification des maladies parodontales de Chicago...
Parodontologie

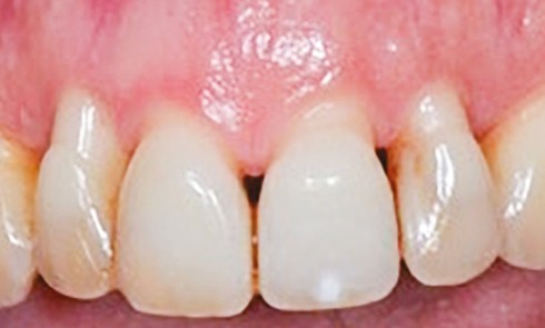
Article réservé à nos abonnés Nouvelle classification… parodontite stade 2 grade C

Qu’est-ce qu’une parodontite stade II grade C selon la classification de Chicago 2017 ? Il s’agit d’une parodontite modérée à progression rapide [1]. Les outils...
Parodontologie

Article réservé à nos abonnés nouvelle classification et gingivite

Qu’est-ce que la gingivite induite par le biofilm selon Chicago 2017 ? Il s’agit d’une lésion inflammatoire résultant d’interactions entre le...
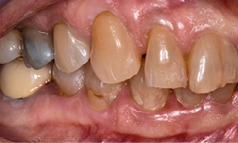
Parodontologie

Article réservé à nos abonnés La nouvelle classification des maladies parodontales et péri-implantaires

Qu’est-ce que la santé parodontale selon Chicago 2017 ? Cette nouvelle classification introduit pour la première fois la notion de santé...
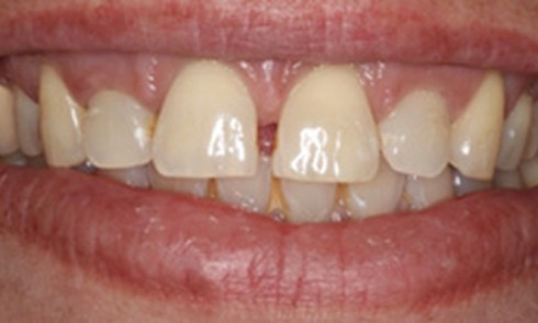
Parodontologie

Article réservé à nos abonnés Nouvelle classification… Parodontite – Stade 1 grade C

Qu’est-ce qu’une parodontite stade I grade C selon la classification de Chicago 2017 ? Il s’agit d’une parodontite débutante à progression rapide [1]. Les...
Parodontologie

Article réservé à nos abonnés Nouvelle classification… et gingivite

Qu’est-ce que la gingivite induite par le biofilm selon Chicago 2017 ? Il s’agit d’une lésion inflammatoire résultant d’interactions entre...