Flux numérique

Imagerie

Article réservé à nos abonnés Le cabinet dentaire numérique à travers le concept 2D3D4D

Un cabinet dentaire numérique n’est pas différent d’un cabinet qui utilise des outils analogiques, il s’appuie largement sur les données...
CFAO

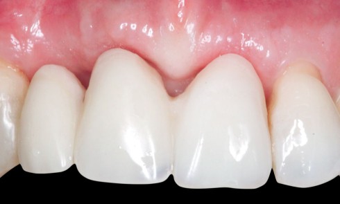
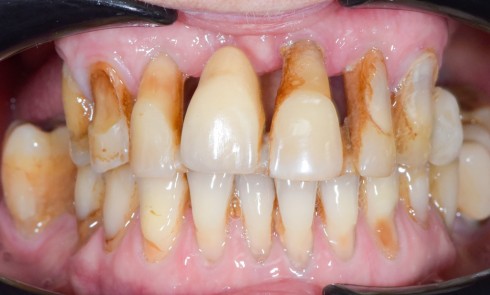
Article réservé à nos abonnés Flux numérique et restauration imprimée en dentisterie restauratrice

Cas clinique Une patiente de 42 ans, sans antécédents généraux, consulte pour une douleur en bas à droite lorsqu’elle mange...
CFAO

Article réservé à nos abonnés Réhabilitations complètes implanto-portées et flux numérique

La prise en charge de patients nécessitant des réhabilitations complètes implanto-portées selon des flux de travail entièrement numériques relevait il...
Esthétique

Article réservé à nos abonnés Les céramiques hybrides : mythe ou réalité ?

La dentisterie adhésive a connu de nombreuses évolutions et révolutions ces dernières décennies, comme l’avènement du collage aux céramiques, le...
Implantologie

Article réservé à nos abonnés Considérations sur la chirurgie guidée dynamique en implantologie

Le respect des règles de positionnement des implants est un des points clés du succès des traitements implantaires. Ce positionnement...
Prothèse amovible

Article réservé à nos abonnés Prothèse amovible complète immédiate et flux numérique

A propos de deux cas cliniques Les prothèses complètes immédiates réalisées avant les extractions et insérées en fin de phase...