Gingivite

Parodontologie

Article réservé à nos abonnés Lésions gingivales dans l’infection COVID-19 chez l’enfant : rapport de deux cas

LE POINT CLÉ La cavité buccale est en lien direct avec l’ensemble de l’organisme. Le saignement et l’inflammation des gencives...
Parodontologie

Article réservé à nos abonnés L’étiopathogénie des maladies parodontales. Un aperçu historique des modèles, de l’infection focale à la dysbiose et aux voies de l’inflammation

RÉSUMÉ La parodontite est une maladie inflammatoire chronique multifactorielle associée à un biofilm bactérien dysbiotique et caractérisée par la destruction...
Parodontologie

Article réservé à nos abonnés Effets des vitamines sur le parodonte et les maladies parodontales : une revue narrative des études cliniques

Les parodontites sont des pathologies inflammatoires multifactorielles, résultant d’un déséquilibre entre les défenses de l’hôte et un microbiote oral dysbiotique....
Parodontologie

Article réservé à nos abonnés Nouvelle classification… et gingivite

Qu’est-ce que la gingivite induite par le biofilm selon Chicago 2017 ? Il s’agit d’une lésion inflammatoire résultant d’interactions entre...
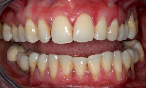
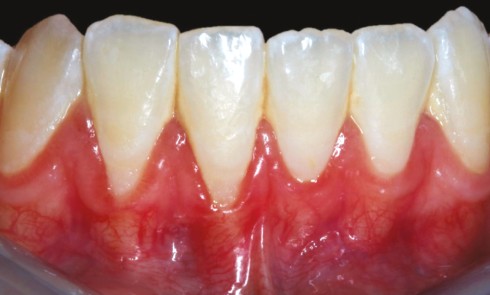
Parodontologie

Article réservé à nos abonnés La prise en charge de la gingivite liée à la plaque

La gingivite liée à la plaque est une inflammation non spécifique résultant de l’interaction entre le biofilm bactérien et les défenses...
Médecine

Article réservé à nos abonnés Gingivite «&nbspréfractaire&nbsp»&nbsp: conduite à tenir

1. Quel est le diagnostic le plus probable ? a. Gingivite b. Lichen plan buccal (LPB), associé à un lichen plan...