Grand Prix

Odontologie restauratrice

Article réservé à nos abonnés Le bridge collé canin en vitrocéramique : on adhère !

Grand Prix éditorial RC 2023 Dentisterie Esthétique 3e lauréats : Léa Massé, Cyprien Clark et Sonia Betin Léa Massé CCU-AH...
ODF, Odontologie restauratrice

Article réservé à nos abonnés Approche pluridisciplinaire d’un trouble occlusal : orthodontie et restaurations directes

Grand Prix éditorial RC 2023 Dentisterie Esthétique 1re lauréate : Sharon KRIEF Chirurgien-dentiste Post-graduate en Dentisterie Esthétique – New York...

Article réservé à nos abonnés La dent et son Lego

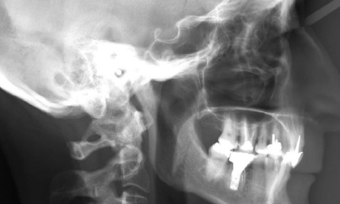
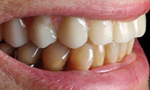
Grand Prix éditorial ID 2023, L’implantologie numérique, maintenant et demain 3e cas lauréat 2023 Présentation du cas Un patient se...

Article réservé à nos abonnés Apport du numérique dans la gestion d’une arcade édentée en bridge implanto-porté type « FP1 »

Grand Prix éditorial ID 2023, L’implantologie numérique, maintenant et demain 2e cas lauréat 2023 De nombreuses études ont montré l’intérêt...

Article réservé à nos abonnés Guides à étages et édentement fortement résorbé

Grand Prix éditorial ID 2023, L’implantologie numérique, maintenant et demain 1er cas lauréat 2023   Objectif thérapeutique Une patiente de...
Endodontie

Article réservé à nos abonnés Nécrose pulpaire et fêlure, quelle stratégie clinique ?

3e cas lauréat 2022 du grand prix Endodontie au quotidien La mise en forme canalaire, étape essentielle pour l’obturation Renaud...
Endodontie

Article réservé à nos abonnés Traiter 12 millimètres de canal pour déplacer une dent

2e cas lauréat 2022 du grand prix Endodontie au quotidien La mise en forme canalaire, étape essentielle pour l’obturation Jean-Charles...
Endodontie

Article réservé à nos abonnés Retraitement endodontique à travers un bridge : apport de la 3D

1er cas lauréat 2022 du grand prix Endodontie au quotidien La mise en forme canalaire, étape essentielle pour l’obturation Raphaël...
ODF

Article réservé à nos abonnés Alternative thérapeutique pour une classe II.2 hypodivergente chez l’adulte : distalisation maxillaire avec minivis

Grand Prix éditorial de l’Orthodontiste et Orthoplus 3e lauréat, catégorie adultes Dans le cas de classe II division 2, dysmorphie souvent associée...