Grand Prix

ODF

Article réservé à nos abonnés Chirurgie première de classe III squelettique

Grand prix éditorial l’Orthodontiste et orthoplus 2e lauréat catégorie catégorie enfants/ adolescents de moins de 16 ans Présentation du cas...
ODF

Article réservé à nos abonnés Substitution d’une incisive centrale au pronostic réservé

Grand prix éditorial l’Orthodontiste et orthoplus 3e lauréat, catégorie enfants/ adolescents de moins de 16 ans Objectif Le patient, âgé de...

Article réservé à nos abonnés Tube de dentifrice réutilisable pour la prothèse complète

Cette manipulation est parfois longue, délicate et salissante ; par ailleurs les restes de bâtonnets deviennent inutilisables car trop courts pour...

Article réservé à nos abonnés Le collage d’une prothèse céramique

Lors du collage, le praticien doit effectuer une certaine pression sur la pièce prothétique afin de la positionner correctement et...

Article réservé à nos abonnés Se protéger des instruments piquants lors du conditionnement

Ces dernières sont rappelées lors de la remise à niveau obligatoire dans le programme « stérilisation au cabinet ». Lors du conditionnement...
ODF

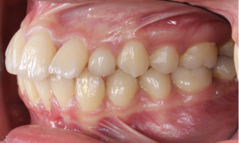
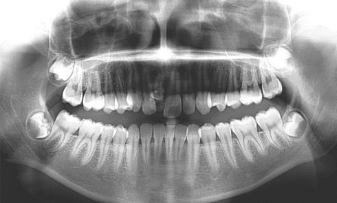
Article réservé à nos abonnés Double inclusion canine associée aux résorptions radiculaires des incisives latérales

Grand Prix l’orthodontiste – Orthoplus Premier lauréat Catégorie enfants/adolescents de moins de 16 ans Marie Lailheugue, Spécialiste qualifiée en orthopédie dento-faciale, la...
ODF

Article réservé à nos abonnés Traitement home made combiné en orthodontie linguale et aligneurs

Grand Prix l’orthodontiste – Orthoplus Premier lauréat ex aequo Catégorie adultes Guillaume Lecocq Spécialiste qualifié en orthopédie dento-faciale, Valenciennes Diagnostic...
Anesthésie

Article réservé à nos abonnés Anesthésie électronique au Quicksleeper 5® et MIH : la clé de la réussite ?

3e lauréat 2020 : Caroline Leverd, Thomas Marquillier, Caroline Delfosse, Thomas Trentesaux Grand Prix : Comment garantir une anesthésie de qualité en 2020 ? Une première...
Anesthésie

Article réservé à nos abonnés Comment aborder l’anesthésie lors de la première consultation en odontologie pédiatrique ?

2e lauréat 2020 : Etienne Boulbin Grand Prix : Comment garantir une anesthésie de qualité en 2020 ? Une première ! Organisé...
Anesthésie

Article réservé à nos abonnés Le maximum de soins dans le minimum de séance : c’est possible, grâce à l’anesthésie ostéocentrale

1er lauréat 2020 : Linda Martin Grand Prix : Comment garantir une anesthésie de qualité en 2020 ? Une première ! Organisé...

Article réservé à nos abonnés Restauration directe au composite : permettre de garder le naturel en l’harmonisant

3es lauréats du grand prix Id : Utilisation des techniques de collage en omnipratique 2020 avec le soutien institutionnel de...