Grand Prix

Article réservé à nos abonnés Overlay et MIH, aux frontières du réel

2es lauréats du grand prix Id : Utilisation des techniques de collage en omnipratique 2020 avec le soutien institutionnel de...

Article réservé à nos abonnés Le rajeunissement raisonné du sourire

1ers lauréat du grand prix Id : Utilisation des techniques de collage en omnipratique 2020 avec le soutien institutionnel de...
Prothèse

Article réservé à nos abonnés L’atout numérique dans la mise en charge immédiate d’un pilotis d’usage

2es lauréat du grand prix Stratégie Prothétique 2020 avec le soutien institutionnel de Bredent Y. Gastard, Prothésiste dentaire W. Goubin,...
Prothèse

Article réservé à nos abonnés Flux numérique complet au service de la mise en charge immédiate dans le cadre de réhabilitations globales

1ers lauréat du grand prix Stratégie Prothétique 2020 avec le soutien institutionnel de Bredent A. Rabiey, F. Chamieh, Chirurgiens-dentistes A....
ODF

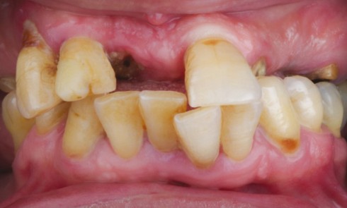
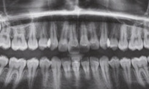
Article réservé à nos abonnés Un challenge pluri-disciplinaire : à propos d’un cas ortho-paro-occlusodontique

Présentation du cas (fig. 1 à 9) Madame J, âgée de 49 ans, nous est adressée par son occlusodontiste pour...
ODF

Article réservé à nos abonnés Décompensation d’une classe II.1 par mini-plaques vissées

Examen clinique (fig. 1 à 7) La patiente âgée de 16 ans et 2 mois, sans antécédent médical ni chirurgical,...
ODF

Article réservé à nos abonnés Traitement d’une classe II division 2 dysfonctionnelle chez l’adulte

2e lauréat du grand prix Orthodontiste – Orthoplus Les cas de classe II division 2 nous posent la question de...