IDWEBFORMATION

Odontologie restauratrice

Article réservé à nos abonnés Fracas, fractures, fragments : gestion de l’urgence traumatique chez l’enfant

Recueil d’informations Charles, âgé de 9 ans, se présente en urgence à la suite d’une chute au bord d’une piscine...
Implantologie, Prothèse

Article réservé à nos abonnés Les conséquences du non-remplacement des dents extraites ou absentes

Causes de l’absence dentaire [3, 4] Il existe plusieurs explications à l’absence d’une ou plusieurs dents sur l’arcade : l’agénésie...
Endodontie, Parodontologie

Article réservé à nos abonnés Les lésions endo-parodontales. Évolution des classifications et complémentarité des approches thérapeutiques

Voies de communication endo-parodontales Sur le plan embryologique, les voies de communication s’expliquent par le fait que lors du développement...
Odontologie restauratrice

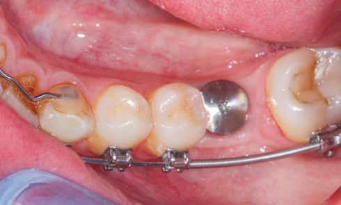
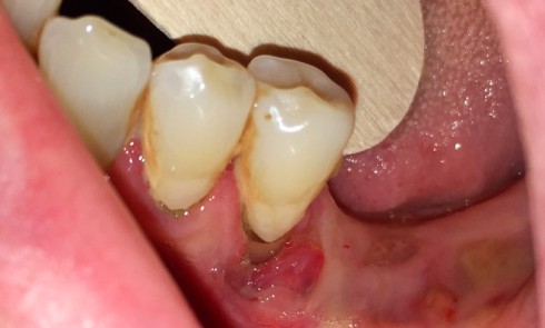
Article réservé à nos abonnés Collage des restaurations adhésives. Quels traitements de surface des pièces prothétiques ?

La restauration de l’organe dentaire par une restauration adhésive indirecte nécessite le conditionnement de deux surfaces : dentaire et prothétique....

Article réservé à nos abonnés Prise en charge des patients sous biothérapie au cabinet dentaire

Les biothérapies Les biothérapies sont des traitements indiqués dans diverses pathologies et disciplines médicales : oncologie, rhumatologie, médecine interne, gastro-entérologie…...

Article réservé à nos abonnés Intérêt de la nouvelle classification des maladies parodontales dans le traitement des parodontites

Définition clinique de la parodontite [5] Nous continuons à nous intéresser aux parodontites sans développer les maladies parodontales nécrosantes et/ou...