Images commentées

Dermatologie buccale

Article réservé à nos abonnés Les pathologies des muqueuses orales existent aussi chez les enfants !

Anamnèse Une enfant de huit ans est reçue en consultation d’odontologie pédiatrique car elle se plaint, depuis plus de six...
Dermatologie buccale

Article réservé à nos abonnés L’examen des muqueuses orales fait aussi partie de l’examen clinique parodontal !

Anamnèse/Histoire de la maladie Une patiente âgée de 57 ans est adressée par son dentiste traitant pour une prise en...
Dermatologie buccale

Article réservé à nos abonnés Ne passons pas à côté d’une hémopathie maligne !

Situation clinique Anamnèse Une patiente âgée de 75 ans consulte en urgence pour un deuxième avis. Elle ressentait depuis plusieurs jours...
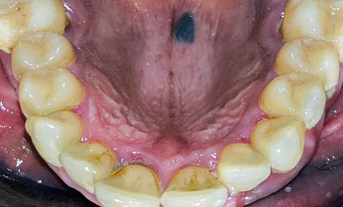
Dermatologie buccale

Article réservé à nos abonnés Découverte fortuite d’une coloration palatine

Situation clinique Anamnèse. Un patient adulte est adressé par son chirurgien-dentiste traitant après la découverte fortuite d’une lésion palatine. Il...
Dermatologie buccale

Article réservé à nos abonnés Attention aux herpès récurrents atypiques

Situation clinique Anamnèse. Une patiente âgée de 38 ans a consulté en urgence pour une douleur gingivale et palatine, apparue...