Implant

Implantologie

Article réservé à nos abonnés Déposer un implant : quand et comment ?

Responsable scientifique : Karim Dada Conférencier : Léon Pariente Bien que les taux de survie des thérapeutiques implantaires soient élevés, équivalents à...
Implantologie

Article réservé à nos abonnés Aménagement pré-implantaire et réhabilitation implantaire d’un patient parodontal fumeur

RÉSUMÉ La parodontite est une pathologie chronique inflammatoire multifactorielle associée à un biofilm dysbiotique et caractérisée par une destruction progressive des...
ODF

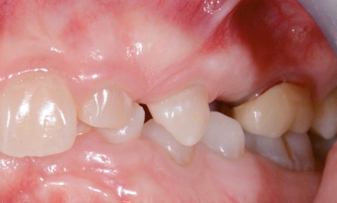
Article réservé à nos abonnés Utilisation d’un implant à des fins orthodontiques avant sa dépose : à propos d’un cas clinique

À la suite d’un accident de la voie publique il y a plusieurs années, le secteur antérieur maxillaire a été...
Implantologie

Article réservé à nos abonnés Restaurations implantaires complètes fixées : empreinte et conception

Les protocoles cliniques de réhabilitation implantaire complète transvissée sur implants sont aujourd’hui bien établis lorsqu’il s’agit d’utiliser les techniques conventionnelles d’empreintes...
Biomatériaux

Article réservé à nos abonnés L’évidence du bridge collé à une ailette pour le remplacement d’une incisive… ou pas !

Le remplacement d’une dent unitaire antérieure est toujours un défi, étant donné les objectifs esthétiques et fonctionnels (phonatoire et masticatoire)...
Implantologie

Article réservé à nos abonnés Ti-base : que coller dessus ? pour quelles indications ? Partie 1 – Historique

Plusieurs points ont une importance majeure pour bien choisir le matériau à coller sur un élément Ti-base : la position...
Implantologie, Prothèse

Article réservé à nos abonnés La connexion implanto-prothétique : aspects biologiques, mécaniques et esthétiques

L’ostéointégration, bien maîtrisée à l’heure actuelle, ne constitue plus le seul critère définissant un « succès implantaire ». En effet, s’y ajoute...
Implantologie

Article réservé à nos abonnés Flux digital en implantologie à propos d’un cas sur une incisive centrale

Analyse pré-implantaire Recueil des données Une patiente de 32 ans est reçue en consultation au cabinet. Elle ne présente pas...
Implantologie chirurgicale

Article réservé à nos abonnés Réhabilitation implantaire secteur postérieur mandibulaire et ROG

La question Il s’agit d’évaluer, selon la situation clinique, la pertinence du recours à la technique de la régénération osseuse...
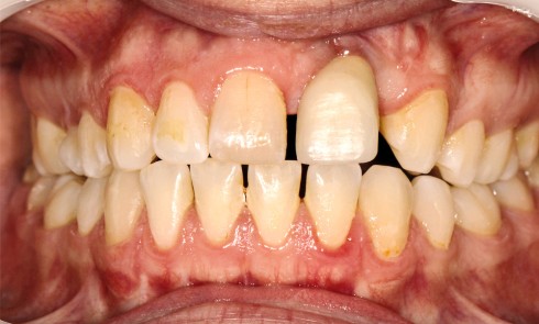
Esthétique

Article réservé à nos abonnés Anomalies de la structure ostéo-dentaire et réhabilitations implantoprothétiques

Les réhabilitations implantoprothétiques permettent d’apporter des solutions fonctionnelles, esthétiques et économes en tissus biologiques. Les patients porteurs d’anomalies de la...