Implantologie

Implantologie

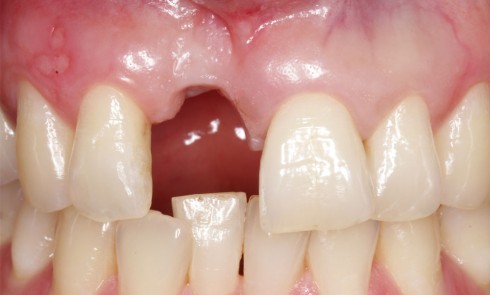
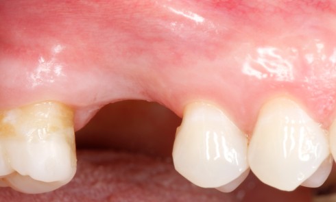
Article réservé à nos abonnés L’implantologie en secteur esthétique : importance du contexte parodontal

De nombreuses études ont montré que la stabilité dans le temps des tissus mous péri-implantaires est primordiale et conditionnée par...

Article réservé à nos abonnés Le rôle de l’assistant(e) dentaire en implantologie

L’avant-chirurgie implantaire L’avant-chirurgie est une étape fondamentale du parcours du patient. Elle doit être pilotée et guidée par l’équipe soignante...
Implantologie, Parodontologie

Article réservé à nos abonnés Une stratégie « zéro péri-implantite » est-elle possible ?
Hiérarchiser et intégrer les facteurs de risque pour réduire les complications biologiques en implantologie

Introduction Il convient donc à ce stade de faire une première clarification entre une perte osseuse péri-implantaire « initiale » associée à...
Implantologie

Article réservé à nos abonnés Prise en charge implantaire en secteur unitaire postérieur

RÉSUMÉ Cet article présente un cas clinique illustrant une technique d’extraction-implantation immédiate à l’aide d’un pilier SSA. Il présente les défis de...
Implantologie

Article réservé à nos abonnés La régénération osseuse guidée en implantologie : une approche revisitée après trente ans d’expérience

RÉSUMÉ Une proportion importante des sites implantés bénéficie désormais d’un geste d’augmentation osseuse. Les protocoles et matériaux sont très variés....
Implantologie, Implantologie chirurgicale

Article réservé à nos abonnés La régénération osseuse guidée en implantologie : une approche revisitée après trente ans d’expérience

Remaniements tissulaires post-extractionnels L’extraction d’une dent déclenche une série de modifications des tissus environnants [1]. Il existe un affaissement du...
Santé publique

Article réservé à nos abonnés Le tabac est-il une contre-indication à l’implantologie ou l’implantologie une opportunité de sevrage tabagique ?

Le chirurgien-dentiste a un rôle central dans la motivation à la réduction ou à l’arrêt de la consommation de tabac,...
Implantologie chirurgicale

Article réservé à nos abonnés Implantation et profil d’émergence : évolution des concepts

Depuis la découverte de l’ostéointégration, le monde scientifique de l’implantologie a successivement porté son attention sur la compréhension du processus...
Implantologie

Article réservé à nos abonnés Responsabilité médico-légale en implantologie pour l’omnipraticien

Capacité et compétence La capacité est une notion juridique La capacité [1-3] est définie par l’article L4141-2 du Code de...
CFAO

Article réservé à nos abonnés L’impression 3D au service de l’implantologie guidée

La révolution numérique a désormais touché le monde de l’odontologie, lequel connaît une transformation rapide. De nouveaux outils ont permis...
Implantologie, Implantologie chirurgicale

Article réservé à nos abonnés Prévoir les résultats et maintenir les acquis en implantologie

Une réhabilitation implanto-portée a pour but de restaurer la fonction et l’esthétique sur le long terme [1]. Dans l’esprit des...