Inflammation

Médecine

Article réservé à nos abonnés Les neutrophiles : agents doubles dans la parodontite

IDENTITÉ Nom : Neutrophile Date de description : 1882, Elie Metchnikoff (« Microphages ») Parenté : Granulocytes, Famille des leucocytes Surnom :...
Implantologie

Article réservé à nos abonnés Estimation de l’impact des particules de titane dans l’immuno-pathologie des péri-implantites : une étude cas-témoin

Résumé Les implants dentaires sont le traitement gold standard pour le remplacement de dents manquantes grâce à leurs remarquables propriétés...
Implantologie chirurgicale, Parodontologie

Article réservé à nos abonnés Spécificités de la réponse inflammatoire de la péri-implantite par rapport à celle de la parodontite

Résumé Objectif Identifier précocement les patients et les sites à risque de péri-implantite est crucial pour prévenir au plus tôt...
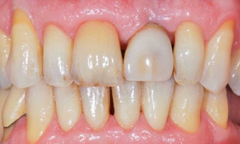
Parodontologie

Article réservé à nos abonnés Nouveau regard sur l’infertilité féminine : des relations avec la santé parodontale

Résumé La fertilité des femmes et la parodontite sont-elles liées ? Un nombre croissant de preuves épidémiologiques et cliniques au...
Implantologie

Article réservé à nos abonnés Préalables cliniques à la pose d’implant

L’implantologie fait actuellement partie des options de traitement prédictibles permettant de remplacer les dents manquantes, avec des taux de survie...