Inlays

Biomatériaux

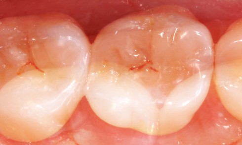
Article réservé à nos abonnés Inlays, onlays, overlays : Quand faut-il recouvrir une paroi résiduelle ?

  Lors de la préparation d’une cavité pour inlay/onlay, il est fréquent d’être confronté, en fin de nettoyage, à la...
Biomatériaux, Odontologie restauratrice

Article réservé à nos abonnés Inlays, onlays, overlays du direct à l’indirect : comment définir l’indication ?

Ce premier article fait le point sur les indications de ces restaurations car, si nous n’hésitons pas à réaliser des...