Laser diode

Implantologie, Parodontologie

Article réservé à nos abonnés Traitement d’une péri-implantite : le choix du « tout laser »

Le patient 70 ans Pas d’antécédents médicaux Ne fume pas Hygiène correcte L’implant Site 23 Mis en place il y...
Odontologie pédiatrique

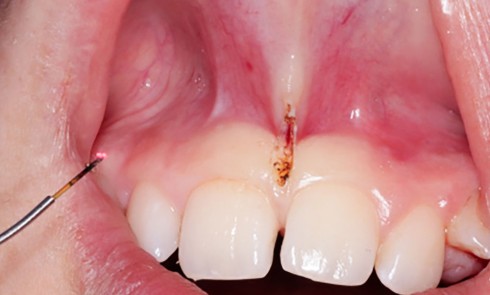
Article réservé à nos abonnés Frénectomie labiale au laser diode chez l’adolescent

Dans notre pratique orthodontique, le frein interincisif peut représenter une anomalie anatomique de la gencive et/ou de la muqueuse alvéolaire....