Lichen oral

Dermatologie buccale

Article réservé à nos abonnés Les pathologies des muqueuses orales existent aussi chez les enfants !

Anamnèse Une enfant de huit ans est reçue en consultation d’odontologie pédiatrique car elle se plaint, depuis plus de six...
Dermatologie buccale

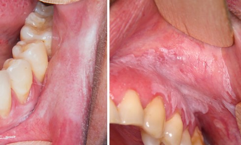
Article réservé à nos abonnés Un lichen peut en cacher un autre !

Cas 1 Motif de la consultation Patiente de 55 ans, qui a consulté pour une lésion blanche de la lèvre...
Dermatologie buccale

Article réservé à nos abonnés Le coup de cœur de Jean-Christophe Fricain

Le lichen oral recouvre plusieurs entités. Il s’agit de la pathologie de la muqueuse buccale la plus fréquente que tout...