Muqueuse orale

Chirurgie orale

Article réservé à nos abonnés Cicatrisation de la muqueuse orale : études cliniques et expérimentales

La muqueuse orale revêt l’ensemble de la cavité buccale ; elle est délimitée par la partie cutanée de la lèvre...
Dermatologie buccale

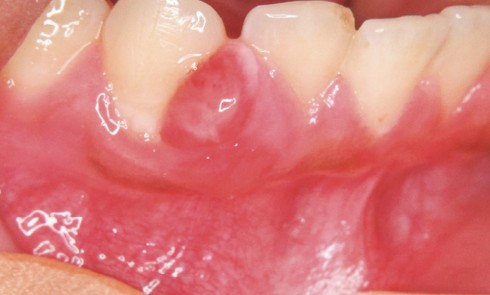
Article réservé à nos abonnés Biopsie de la muqueuse orale au cabinet dentaire

La biopsie est un geste peu pratiqué dans les cabinets dentaires. Pourtant, le chirurgien-dentiste est en première ligne diagnostique des...