Nouvelle classification des maladies parodontales

Parodontologie

Article réservé à nos abonnés Nouvelle classification… Parodontite stade 3 grade C #8

Qu’est-ce qu’une parodontite stade III grade C selon Chicago 2017 ? Il s’agit d’une parodontite sévère à progression rapide avec...
Parodontologie

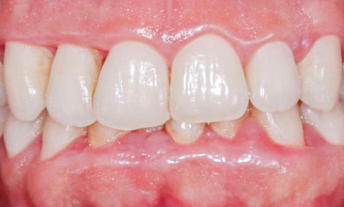
Article réservé à nos abonnés Nouvelle classification… parodontite stade III grade A

Qu’est-ce qu’une parodontite stade III grade A selon la classification de Chicago 2017 ? Il s’agit d’une parodontie sévère à...
Parodontologie

Article réservé à nos abonnés Nouvelle classification… et gingivite

Qu’est-ce que la gingivite induite par le biofilm selon Chicago 2017 ? Il s’agit d’une lésion inflammatoire résultant d’interactions entre...