Numerique

CFAO

Article réservé à nos abonnés Prothèse amovible partielle « tout numérique » et châssis métalliques usinés

La prothèse amovible est une discipline complexe : psychologiquement, par communication du stress du patient engendré par une perte de...
Prothèse

Article réservé à nos abonnés Le numérique au quotidien : trucs et astuces

Les réhabilitations prothétiques présentent des exigences en matière de précision d’adaptation et nécessitent une parfaite coordination entre le praticien et...

Article réservé à nos abonnés Transition vers le numérique : retour d’expérience des aligneurs « in office » à l’hôpital Bretonneau (Paris)

John Dryden écrivait « Nous façonnons d’abord nos habitudes, puis nos habitudes nous façonnent ». Tout changement dans notre pratique quotidienne, dans...
Implantologie

Article réservé à nos abonnés L’empreinte optique en implantologie

Quelles sont les empreintes nécessaires pour avoir un fichier complet ? Pour enregistrer la position d’un implant, il va falloir...
CFAO

Article réservé à nos abonnés Le numérique à tout prix ?

Peut-être faudrait-il commencer par s’intéresser de près aux diverses formations existantes et s’attarder sur les protocoles déjà établis. Nos professions...
CFAO

Article réservé à nos abonnés La digitalisation des teintes. Pourquoi ? Comment ? Pour quels résultats ?

La prise de teinte au cabinet dentaire n’est qu’une première étape pour la réussite de l’intégration de nos céramiques. Le...
CFAO

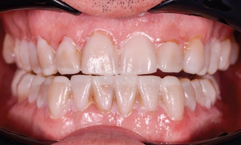
Article réservé à nos abonnés Apport du numérique dans le suivi du patient dans le temps Application aux cas d’usure dentaire

En quelques années, les flux de travail se sont numérisés, modernisés, réinventés grâce aux avancées technologiques (matérielles et logicielles), mais...
Endodontie

Article réservé à nos abonnés Apport du numérique en endodontie chirurgicale guidée : à propos d’un cas

Depuis plusieurs années, la microchirurgie endodontique moderne s’est imposée comme une stratégie de référence pour la prise en charge des...
Prothèse

Article réservé à nos abonnés Apport du numérique et simplification des protocoles dans les traitements d’augmentation de la dimension verticale chez le patient denté

Les usures dentaires généralisées ont longtemps nécessité des thérapeutiques invasives et délabrantes. Répondant aux doléances d’une population de plus en...
Implantologie

Article réservé à nos abonnés Restaurations implantaires complètes fixées : empreinte et conception

Les protocoles cliniques de réhabilitation implantaire complète transvissée sur implants sont aujourd’hui bien établis lorsqu’il s’agit d’utiliser les techniques conventionnelles d’empreintes...