Occlusion

Occlusodontologie

Article réservé à nos abonnés Courbe de Spee : pourquoi tant de « platitude » ?

Les données existent depuis quarante ans En 1890, Ferdinand Graf Spee (prononcez « Chpé ») a décrit une courbe occlusale en...
Biomatériaux

Article réservé à nos abonnés Intégration occlusale du bridge collé cantilever postérieur en céramique

Alternative à l’implantologie et aux restaurations plurales traditionnelles, le bridge collé cantilever postérieur en céramique (BCCPC) est une nouvelle solution...
Occlusodontologie

Article réservé à nos abonnés La Dimension Verticale d’Occlusion en 2023 : cadre décisionnel

La Dimension Verticale d’Occlusion (DVO) représente la hauteur de la partie inférieure du visage, le mouvement de fermeture étant stoppé...
Occlusodontologie

Article réservé à nos abonnés Les vrais critères de choix de la Dimension Verticale d’Occlusion thérapeutique : applications cliniques

À travers trois situations cliniques différentes, illustrées par une anamnèse, des examens cliniques et radiologiques, une réflexion est engagée pour...
Occlusodontologie

Article réservé à nos abonnés Contrôle orthodontique de la Dimension Verticale d’Occlusion chez l’adulte présentant une béance antérieure

Étiologie de la béance antérieure Dans la littérature, les classifications étiologiques de la béance occlusale antérieure sont variables en fonction...
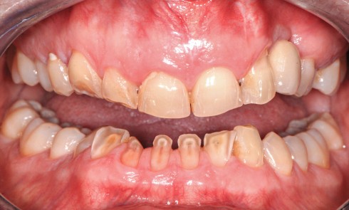
Occlusodontologie

Article réservé à nos abonnés Reconstruction en antéposition

Les chirurgiens-dentistes sont parfois confrontés à des réhabilitations orales complexes. Les difficultés peuvent être dues à des délabrements ou des...
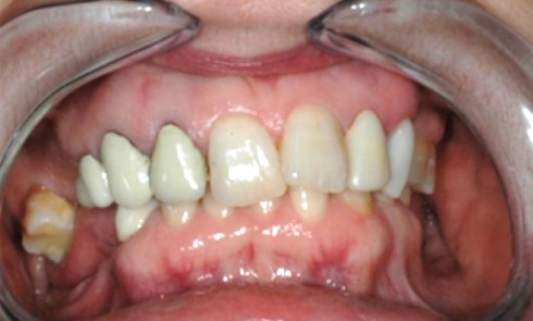
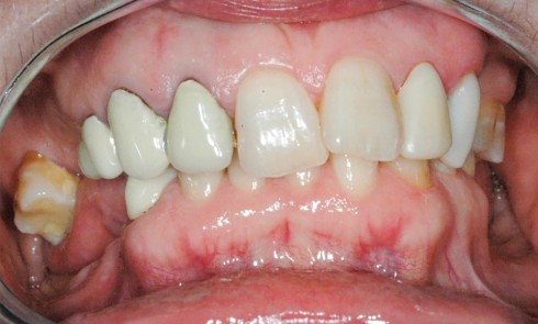
Occlusodontologie

Article réservé à nos abonnés Reconstruction en antéposition

Les chirurgiens-dentistes sont parfois confrontés à des réhabilitations orales complexes. Les difficultés peuvent être dues à des délabrements ou des...
Occlusodontologie

Article réservé à nos abonnés Gestion moderne de l’occlusion

Les évolutions constantes en dentisterie numérique nous ont amenés à adapter une grande partie des fondamentaux de l’occlusion aux nouveaux...
Occlusodontologie

Article réservé à nos abonnés Occlusion et restaurations directes postérieures : la “stamp technique”

La « stamp technique », ou tampon occlusal, est une technique très intéressante à maîtriser lors de séances de restaurations directes. La...
Occlusodontologie

Article réservé à nos abonnés Réhabilitation occlusale temporaire selon les critères occlusaux fonctionnels

Une réhabilitation occlusale fonctionnelle est indiquée en cas de défaillances des guidages d’entrée et de sortie de cycles de mastication...
Occlusodontologie

Article réservé à nos abonnés Occlusion fonctionnelle et mastication

Articulation temporo-mandibulaire (ATM), muscles, faces occlusales, système nerveux central (SNC) : la mastication met en relation dynamique 4 éléments principaux,...