Occlusion dentaire

Occlusodontologie

Article réservé à nos abonnés Posture et occlusodontie fonctionnelle

Le système postural par ses nombreux capteurs et leurs interconnexions est d’une grande complexité, ce qui rend délicates la compréhension...
Occlusodontologie

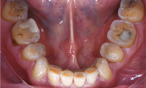
Article réservé à nos abonnés Réhabilitation occlusale temporaire selon les critères occlusaux fonctionnels

Une réhabilitation occlusale fonctionnelle est indiquée en cas de défaillances des guidages d’entrée et de sortie de cycles de mastication...
Occlusodontologie

Article réservé à nos abonnés Occlusion et bruxismes

Dans une revue traitant de différents aspects de l’occlusion dentaire, il semble normal d’évoquer les modifications des morphologies dentaires au...
Occlusodontologie

Article réservé à nos abonnés Résultats cliniques factuels des relations entre les dysfonctionnements temporo-mandibulaires, l’occlusion dentaire et la posture corporelle

Les dysfonctionnements temporo-mandibulaires (DTM) sont des conditions à multiples facettes dans lesquelles un certain nombre de facteurs interagissent (biomécaniques, neuro­physiologiques,...