Occlusion fonctionnelle

Implantologie, Occlusodontologie

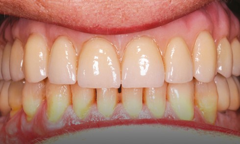
Article réservé à nos abonnés Implantologie et principes de l’occlusion fonctionnelle

L’implantologie domine au sein de l’arsenal prothétique moderne, le nombre de patients éligibles s’étend et, dès lors que la mobilité...
Occlusodontologie, ODF

Article réservé à nos abonnés Orthodontie et occlusodontie fonctionnelle

Nous déplaçons des dents quotidiennement, développons les mâchoires, créons de beaux sourires. Mais nous interrogeons-nous suffisamment sur la finalité de...