Ortho+

ODF

Article réservé à nos abonnés Double inclusion canine associée aux résorptions radiculaires des incisives latérales

Grand Prix l’orthodontiste – Orthoplus Premier lauréat Catégorie enfants/adolescents de moins de 16 ans Marie Lailheugue, Spécialiste qualifiée en orthopédie dento-faciale, la...
ODF

Article réservé à nos abonnés Traitement home made combiné en orthodontie linguale et aligneurs

Grand Prix l’orthodontiste – Orthoplus Premier lauréat ex aequo Catégorie adultes Guillaume Lecocq Spécialiste qualifié en orthopédie dento-faciale, Valenciennes Diagnostic...
ODF

Article réservé à nos abonnés Gestion d’un cas d’extraction d’incisive mandibulaire par technique linguale individualisée

Grand Prix l’orthodontiste – Orthoplus Premier lauréat ex aequo Catégorie adultes Capucine Luca, Spécialiste qualifiée en orthopédie dento-faciale, Rennes La prise...
ODF

Article réservé à nos abonnés Un challenge pluri-disciplinaire : à propos d’un cas ortho-paro-occlusodontique

Présentation du cas (fig. 1 à 9) Madame J, âgée de 49 ans, nous est adressée par son occlusodontiste pour...
ODF

Article réservé à nos abonnés Décompensation d’une classe II.1 par mini-plaques vissées

Examen clinique (fig. 1 à 7) La patiente âgée de 16 ans et 2 mois, sans antécédent médical ni chirurgical,...
ODF

Article réservé à nos abonnés Géminations d’incisives centrales maxillaires associées à une transposition antérieure : un défi pluridisciplinaire

Diagnostic Antony, 11 ans se présente initialement pour une demande esthétique concernant ses deux incisives centrales qu’il trouve trop grosses...
ODF

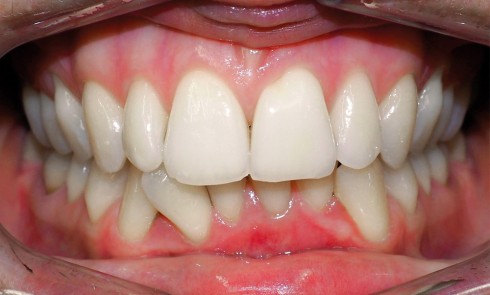
Article réservé à nos abonnés Traitement d’une classe II division 2 dysfonctionnelle chez l’adulte

2e lauréat du grand prix Orthodontiste – Orthoplus Les cas de classe II division 2 nous posent la question de...