Orthodontie

Implantologie

Article réservé à nos abonnés Recommandations de bonne pratique de niveau S3 de l’EFP sur le traitement de la parodontite de stade IV : position commune du CNEP et de la SFPIO

RÉSUMÉ Le guide de pratique clinique récemment publié pour le traitement des parodontites de stade I à III a fourni...
Parodontologie

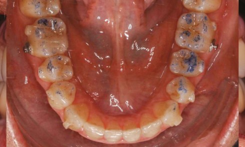
Article réservé à nos abonnés Synergie ortho-parodontale dans le traitement d’une lésion infra-osseuse associée à une migration dentaire secondaire

Résumé La parodontite de stade IV entraîne fréquemment le déplacement des dents antérieures maxillaires et elle est souvent associée à...
Odontologie pédiatrique

Article réservé à nos abonnés Les biais cognitifs dans la pratique odontologique : amis ou ennemis ?

Il existe en effet un risque important pour les praticiens contemporains de privilégier des prises de décision « semi-automatiques » influencées par...
Pathologie

Article réservé à nos abonnés Syndrome d’apnées-hypopnées obstructives du sommeil : spécificités chez l’enfant

Spécificités cliniques du Sahos de l’enfant Comme chez l’adulte, le Syndrome d’apnées-hypopnées obstructives du sommeil (Sahos) de l’enfant correspond à...
Occlusodontologie, ODF

Article réservé à nos abonnés Orthodontie et occlusodontie fonctionnelle

Nous déplaçons des dents quotidiennement, développons les mâchoires, créons de beaux sourires. Mais nous interrogeons-nous suffisamment sur la finalité de...
ODF, Parodontologie

Article réservé à nos abonnés Enfant patient parodontal

L’enfant est-il à risque de maladie parodontale ? Il existe une susceptibilité plus faible au développement de l’inflammation gingivale chez...