Orthodontie

Parodontologie

Article réservé à nos abonnés Le point sur les différentes techniques orthodontiques (fixes versus aligneurs) : indications chez l’adulte et incidences parodontales

Les différentes techniques Il existe deux grands types d’appareillages orthodontiques : l’un fixe (multi-attaches vestibulaires ou linguales), l’autre amovible (aligneurs). Quelle...
ODF, Parodontologie

Article réservé à nos abonnés Le « syndrome du fil » de contention collé en orthodontie

Les effets indésirables des fils de contention collés Les contentions par fils collés maintiennent l’esthétique dans les régions antérieures sans...
ODF, Parodontologie

Article réservé à nos abonnés Recessions parodontales au quotidien

Pourquoi renforcer le biotype parodontal ? Physiologiquement, la composition de la gencive lui offre une résistance bien supérieure à celle de la muqueuse...
ODF, Parodontologie

Article réservé à nos abonnés Intérêt de l’ortho dans le traitetment des parodontites

Les maladies parodontales entraînent souvent égression dentaire, migration vestibulaire des dents antérieures, diastèmes secondaires, versions et perte de dimension verticale....
ODF, Parodontologie

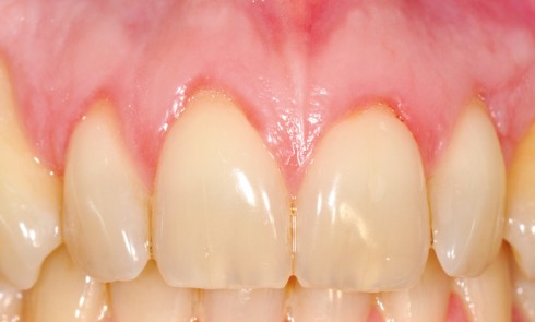
Article réservé à nos abonnés Récessions gingivales des incisives mandibulaires et thérapetique orthodontique

Au cours de l’évolution dentaire, l’axe d’éruption de la dent dans le procès alvéolaire influe sur l’épaisseur des corticales vestibulaires...
ODF

Article réservé à nos abonnés L’après-contention en orthodontie

Une fois le traitement orthodontique actif par multi-attaches terminé, et la première année de contention achevée, les patients ne sont...
ODF

Article réservé à nos abonnés La Coopération lors de la contention en orthodontie

Montrer l’amélioration obtenue Certains adolescents et adultes ont conservé de gros complexes liés à l’état de leurs dents avant traitement,...
ODF

Article réservé à nos abonnés Pourquoi le premier bilan orthodontique doit-il se faire à 3 ans ?

L’étiologie des dysmorphoses oro-faciales est le plus souvent héréditaire ou congénitale, mais une très grande partie des troubles de croissance...
Esthétique

Article réservé à nos abonnés Spécificités de la prise en charge orthodontique des amélogenèses imparfaites

L’amélogenèse imparfaite (AI) est une anomalie héréditaire rare de la structure dentaire, caractérisée par des défauts amélaires en denture temporaire...
Implantologie

Article réservé à nos abonnés Gestion des tissus parodontaux lors des thérapeutiques orthodontiques

Récessions parodontales Étiologie des récessions La gencive marginale est cliniquement représentée par une ligne festonnée qui suit le contour de...